發布時間:2023-03-30 08:50
會“消失”的心臟支架

| 福州經濟技術開發區醫院實施首例冠脈生物可吸收支架置入術
3月23日,福州市馬尾區醫院DSA介入團隊在福建醫科大學附屬第一醫院心內科彭峰主任指導下,成功開展了馬尾區醫院首例冠狀動脈生物可吸收支架植入術,目前患者康復情況良好。冠脈生物可吸收支架植入技術的開展,是福州市馬尾區醫院冠心病介入治療在“介入植入”時代的又一重大突破。

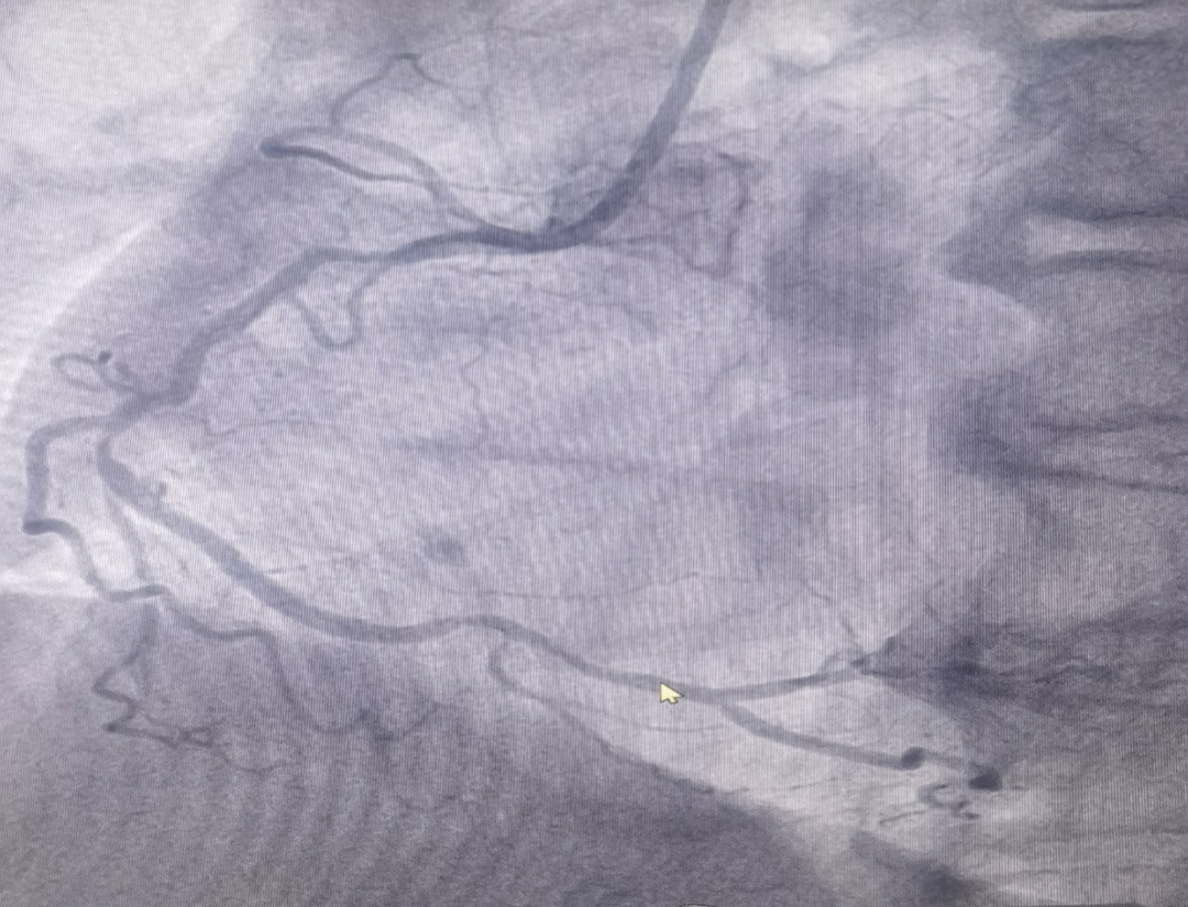
男性患者,72歲,入院診斷為:冠心病,不穩定型心絞痛。冠脈造影結果提示右冠脈重度狹窄,考慮為此次發病的病變血管。

(圖為右冠病變術前影像)

(圖為生物可吸收支架置入術后影像)
冠脈支架置入術歷史悠久,對冠脈重度狹窄患者效果確切。但是傳統支架一般都是金屬支架,置入后需長期服藥,并且支架一直保留在體內。隨著醫療技術的發展,生物可吸收支架是一項令人鼓舞的新技術,已初步表現出良好的治療效果和樂觀的應用前景,其獨具的可被完全降解吸收的特點,使支架本身能逐漸被人體組織吸收、降解、恢復靶血管的生物性,達到冠脈介入治療真正的“微創、無痕”的預期效果。另外,生物可吸收支架的置入避免金屬植入物永久存留體內的問題,對于年輕患者來說遠期效益更大。值得注意的是,為了達到更好的治療效果,術者應嚴格把握適應癥的選擇,同時在手術過程中要嚴格遵守PSP(充分預處理-選擇合適的支架尺寸-充分的后擴張)操作規程。
