發布時間:2022-05-19 11:10
河北醫科大學第一醫院實施首例冠脈生物可吸收支架置入術
近日河北醫科大學第一醫院在心內二科王震教授、劉君教授團隊成功為一名冠心病患者實施生物可吸收支架置入術,此次手術為河北醫科大學第一醫院首例,開啟了在冠心病介入治療領域應用可吸收支架治療血管狹窄的新征程。
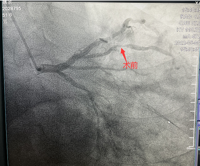
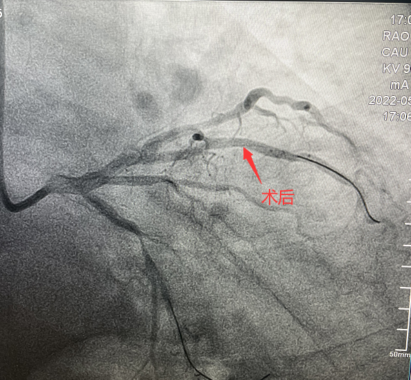
患者,51歲,男性,入院診斷為:冠心病、不穩定型心絞痛。冠狀動脈造影顯示對角支90%狹窄病變。對于該類患者,通過介入治療(PCI)方式早期干預相關血管可明顯減輕患者癥狀,減少死亡率、并發癥,改善患者的預后。在醫生與患者及家屬溝通時,患者家屬提到,他們了解得知臨床有一種新型的可吸收支架,置入體內后能完全被降解和吸收,患者及家屬希望能用這種新型的支架進行手術治療。由于生物可吸收支架有著嚴格的適應癥,因此經過嚴格評估,最終對患者進行了Xinsorb生物可吸收支架(BRS)置入術。支架植入術后,經IVUS檢查,支架貼壁良好,結果完美,手術順利結束。

可吸收支架植入手術中



手術造影圖
據王震主任介紹,冠脈支架置入術歷史悠久,對冠脈重度狹窄患者效果確切。但是傳統支架一般都是金屬支架,置入后需長期服藥,并且支架要一直保留在體內。隨著醫療科技的發展,生物可吸收支架問世,它不僅能對狹窄的血管進行有效的物理支撐,又能釋放出藥物防止血管再狹窄,更主要的是支架本身還能逐漸被人體組織吸收、降解,恢復靶血管的生物性,達到冠脈介入治療真正的“微創、無痕”的預期效果。另外,生物可吸收支架的置入避免了金屬置入物永久存留體內的問題,對于年輕患者來說遠期獲益更大。值得注意的是,為了達到更好的治療效果,術者應嚴格把握適應癥的選擇,同時在手術過程中要嚴格遵守PSP(充分預處理-選擇合適的支架尺寸-充分的后擴張)操作規程。
專家介紹

王震:教授、主任醫師、研究生導師,政府特貼專家。河北醫科大學第一醫院心內二科主任,介入治療科主任,內科學教研室主任。
兼任國家衛健委心血管病介入診療培訓基地主任兼導師 、國家食品藥品監督管理總局醫療器械技術評審中心專家咨詢委員會委員、中華心血管病學會結構性心臟病專業委員會委員、中國醫師協會結構性心臟病專業委員會委員、亞太心臟聯盟結構性心臟病分會委員、河北省心臟健康聯盟結構性心臟病工作委員會主任委員 、河北省血管健康與技術協會結構性心臟病專業委員會主任委員、河北省醫學會心血管病學分會常委兼結構性心臟病學組組長、河北省預防醫學會心血管病學分會副主任委員。兼任《中華臨床醫師雜志》、《生物醫學工程與臨床》、《心血管微創醫學雜志》、《中國醫藥科學》、《中華現代影像學雜志》、《心臟雜志》、《臨床薈萃》 《河北醫科大學學報》等國內多家專業雜志社編委會常委、委員和特約審稿專家。2018年榮獲河北省委宣傳部授予的“美麗河北·最美醫生”榮譽稱號,2019年榮獲吉爾吉斯共和國總統親自頒發的“國家最高榮譽勛章”;2020年中央文明辦授予“中國好醫生”榮譽稱號。
科室概況

河北醫科大學第一醫院心血管內二科為河北省醫學重點學科,河北省臨床重點專科,國家衛健委首批心血管病介入診療技術培訓基地,國家臨床藥理學基地。科室在王震教授和劉君教授帶領下,在治療冠心病、高血壓病、先心病、風心病、心律失常、高脂血癥等方面有著豐富的經驗。開展冠狀動脈造影術及支架置入術、心律失常導管消融治療術、心臟起搏器植入術、動脈導管未閉封堵術、房間隔缺損封堵術、室間隔缺損封堵術、經皮球囊瓣膜成形術等各種心臟介入性治療,技術水平國內先進。多年以來科室每年擔負著培養研究生、本科生、進修醫師、國家衛健委培訓基地學員及國外心血管病介入醫師的培訓任務,多年來科室與美國、德國、荷蘭、日本、俄羅斯、印度、越南、吉爾吉斯斯坦、哈薩克斯坦、烏茲別克斯坦、塔吉克斯坦、巴基斯坦等十多個國家進行醫療及學術交流,為國內外培養了大批心血管病介入診療技術人才。